文章来源:见图水印
腰痛是大多数脊柱外科患康永生者就诊的最主要症状,而椎间盘突出是腰痛的常见原因,于是便有了一个错误认识:腰痛=腰椎间盘突出,其实,这是片面的。腰痛,不是椎间盘突出那么简单。
病例一:男性,70岁,以“腰痛3天”来诊,在家弯腰时感到疼痛,休息后无改善,遂来诊。后确诊为椎体压缩性骨折。

病例二:女性,64岁,以“腰痛15天”来诊,在当地医院按“腰椎间盘突出症”给予针灸、微创手术等治疗,效果欠佳来诊,确诊为腰椎滑脱症。

病例三:男性,15岁,以“腰痛7天”来诊,体育课运动后腰痛,休息及口服药物无改善,来诊后确诊为腰5椎体半椎体畸形。

病例四:男性,66岁,以“腰痛10天”来诊,在当地医院按“腰椎间盘突出症”给予治疗,疼痛缓解不明显,遂来我科就诊,确诊为强直性脊柱炎腰骶椎骨折(Anderson损害)。

病例五:男性,55岁,以“腰痛2月”来诊,在当地医院按“腰椎间盘突出症”给予针灸、局部封闭、微创手术等治疗,效果欠佳来诊。MRI提示腰椎椎体信号异常,追加胸椎及实验室检查,发现4个椎体病理性骨折,白球倒置,确诊为多发性骨髓瘤。

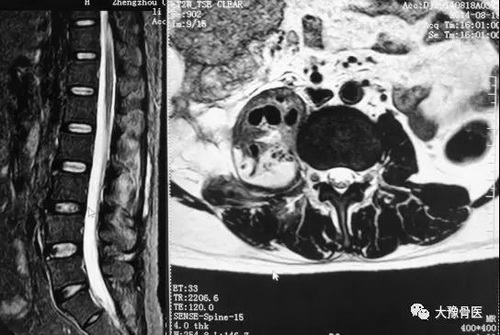
病例六:女性,68岁,以“腰痛2周”来诊,在家自行口服药物、卧床休息后疼痛有所减轻后来诊,后确诊为肝癌腰椎转移瘤。

病例七:女性,69岁,以“腰痛20天”来诊,在当地医院按“腰椎间盘突出症”给予治疗,症状无改善,遂来我科就诊,后确诊为腰柱结核,硬膜外及腰大肌脓肿。

病例八:男性,47岁,以“腰痛3天”来诊,在当地医院按“腰肌扭伤”给予治疗,症状无改善,遂来我院就诊。来我科后,确诊为泌尿系结石并肾积水。

病例九:女性,66岁,以“腰痛12天”来诊,在当地医院按“腰椎间盘突出症”给予治疗,症状无改善,遂来我科就诊,确诊为双侧股骨头缺血性坏死。

病例十:男性,40岁,以“腰痛14天”来诊,在当地医院按“腰椎间盘突出症”给予治疗,症状无改善,遂来我科就诊,后确诊为慢性阑尾炎并腰大肌脓肿。

通过以上病例,我们可以看出,腰痛,仅仅是一种症状,其病因包括了退变、畸形、创伤、肿瘤、感染等脊柱外科疾病,还有血液系统、泌尿系统、胃肠外科等疾病,不仅仅是椎间盘突出那么简单。
脊柱骨科Ⅰ王庆德主任提醒:作为一名专科医生,除了熟练掌握问诊、视触动量听等骨科基本功外,还要拥有广博的知识面,才能在临床工作中不漏诊,不误诊,只有这样,才能给予精准治疗,确保治疗效果。建议广大腰痛患者前来专科医院找专科医师就诊,少走弯路,早日获得健康人生!